揭秘肝癌新疗法:小小囊泡如何“扭转乾坤”
肝细胞癌(hepatocellular carcinoma, HCC)是一种全球范围内常见而凶险的恶性肿瘤,其隐匿性高,常被视为悄无声息的“幽灵”。其发病率和死亡率的上升让许多患者感到无助和绝望。尽管现代医学在治疗手段上取得了不少进展,但对这种顽固肿瘤的治疗仍然面临巨大挑战。在这片挑战的阴影下,科学家们发现了一个潜在的希望——磷脂酰肌醇蛋白聚糖3(Glypican-3,简称GPC3)。GPC3这个蛋白在肝细胞癌细胞中以异常高的水平出现,仿佛是肿瘤生长的“幕后推手”,促进了癌细胞的扩散和转移。正因如此,这个隐藏在肝细胞癌中的“恶棍”,成为了突破治疗难题的关键。
而在对抗这个靶点时,科学家们有了新的武器——单链抗体(single-chain fragment variable, scFv)。相较于传统的全长单克隆抗体,单链抗体就像是癌症治疗中的“利剑”,体积小却精准强大。它由抗体的重链和轻链可变区通过柔性肽连接而成,可以和功能性蛋白融合,保留了对特定抗原的识别能力。特别是新开发的hGC33单链抗体,这种抗体像一个专门的锁匠,能够精确地“打开”GPC3的特定“锁孔”,即其C端区域。研究显示,当hGC33单抗被结合到纳米颗粒或细胞外膜囊泡上时,它能够像“精确制导的导弹”一样,选择性地靶向GPC3阳性的肝癌细胞,大大提升了治疗效果,也为肝细胞癌的治疗带来了新的希望。

图. Hbp-hGC33-scFv亚细胞定位的免疫电镜分析|生物工程学报, 2024, 40(7): 2258-2269
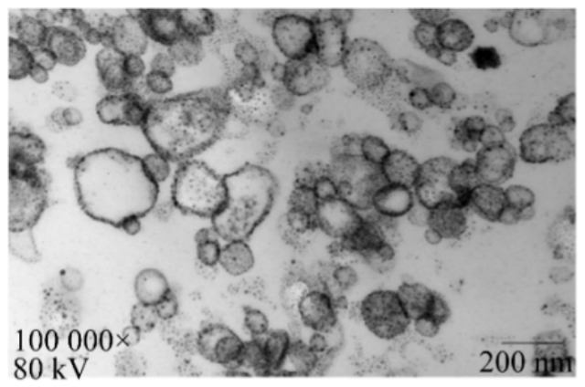
细菌外膜囊泡(outer membrane vesicles, OMVs)是直径在20−250 nm之间的颗粒,携带着细菌的外膜蛋白及重要的遗传物质,具备类似于亲本细菌的功能。令人惊讶的是,OMVs能够在肿瘤的缺氧区域滞留,从而达到靶向治疗的效果。通过在大肠杆菌中表达融合蛋白Hbp-hGC33-scFv,科学家们成功制备出带有Hbp-hGC33-scFv的外膜囊泡(Hbp-hGC33-OMVs)。这种囊泡不仅保留了Hbp的运输能力,还可以特异性地靶向肝细胞癌。

图. Hbp-hGC33-OMVs的透射电镜分析|生物工程学报, 2024, 40(7): 2258-2269
实验结果显示,与未加载抗体的OMVs相比,Hbp-hGC33-OMVs能够更有效地结合到Hep G2肝癌细胞上。小鼠活体荧光成像技术进一步验证了其能够精准地靶向肿瘤部位,展示出其在体内的优越性。不过,OMVs在肿瘤部位的滞留时间相对较短,这可能会影响其治疗效果。未来的研究将重点关注如何改进OMVs的制备工艺或结合其他治疗策略,以提高其在肿瘤部位的滞留时间和治疗效果。

图. 注射OMVs后小鼠活体荧光成像|生物工程学报, 2024, 40(7): 2258-2269
随着技术的不断优化和完善,我们有望在未来的癌症治疗中迎来更加精准和高效的解决方案。想象一下,不久的将来,医生们可以利用这些微小的“纳米战士”精准攻击肿瘤细胞,而不伤害健康组织。这样的突破不仅为肝细胞癌患者带来了新的希望,也标志着我们在对抗癌症的道路上迈出了重要的一步。科学的力量正逐步揭开疾病的面纱,为人类健康铺就光明的未来。

《生物工程学报》2024年7期出版的“抗GPC3单链抗体细菌外膜囊泡的制备及其肝细胞癌靶向性的鉴定”一文,对此进行了详细报道。
原文链接
https://cjb.ijournals.cn/html/cjbcn/2024/7/gc24072258.htm
如有不妥,以文章原文为准。
附件下载: