抗生素耐药对全球公共卫生构成重大威胁。喹诺酮类药物是人工合成的抗菌药物,包括常见的左氟沙星、环丙沙星、莫西沙星等。喹诺酮类药物用于治疗多种细菌感染,包括结核。喹诺酮类药物通过抑制细菌DNA旋转酶(DNA gyrase)和拓扑异构酶IV(topoisomerase IV)的酶活性,阻断对生长必需的DNA的复制和RNA合成过程。在临床应用中,喹诺酮类抗生素的耐药问题日益严重。有研究发现分枝杆菌中的五肽重复蛋白MfpA通过模拟DNA,调控旋转酶活性并参与保护其免于氟喹诺酮药物的伤害。但是,MfpA的作用机制尚不清楚。本研究首次揭示了MfpA参与分枝杆菌抗氟喹诺酮类药物的新机制。
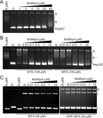
研究团队纯化了耻垢分枝杆菌(结核分枝杆菌的模式菌株)来源的MfpA,检测了其对DNA旋转酶活性的调控。结果显示,MfpA抑制DNA旋转酶的超螺旋反应。进一步研究表明,MfpA在ATP存在条件下可以抑制氟喹诺酮引起的DNA损伤,从而保护细菌免受抗生素的杀伤(图1)。

图1 MfpA对DNA旋转酶活性的调控
通过X射线晶体学,解析了MfpA与DNA旋转酶ATPase结构域的复合体(图2)。

图2 MfpA与DNA旋转酶的ATPase结构域复合物结构
结合酶学检测结果,我们提出了MfpA的作用机制(图3):MfpA与DNA旋转酶的ATP酶结构域直接相互作用,激活ATP酶的活性,改变DNA旋转酶的构象,促使氟喹诺酮类药物从DNA旋转酶-药物-DNA复合体中释放,最终在MfpA的保护下DNA旋转酶完成对DNA拓扑结构的催化改变(图3)。对MfpA和DNA旋转酶ATPase结构域复合体晶体结构的解析,为设计抑制DNA旋转酶的新型抗生素提供科学思路。

图3 MfpA作用机制模式图
相关结果于以“The pentapeptide-repeat protein, MfpA, interacts with mycobacterial DNA gyrase as a DNA T-segment mimic”为题在国际期刊Proceedings of the National Academy of Sciences of the United States of America发表。中国科学院微生物所米凯霞和John Innes Centre的Anthony Maxwell为论文的共同通讯作者,联合培养博士后冯立鹏为文章的第一作者。该课题资助来自于科技部重点研发计划、国家自然科学基金委、CEPAMS、BBSRC等。
原文链接:https://https://www.pnas.org/content/118/11/e2016705118
附件下载: